Maladie de Parkinson idiopathique
Date de dernière édition : 22/09/2024
La maladie de Parkinson idiopathique (MPI, ou maladie de Parkinson) est une maladie neurodégénérative d'étiologie inconnue et d'évolution inexorable. Elle est définie par une triade clinique caractéristique, associant à des degrés variables une bradykinésie, des tremblements et une rigidité, et l'exclusion de diagnostics différentiels.
Sa prévalence est de ≈ 1/ 1000 habitants (atteignant cependant 1% chez les > 65 ans) avec une prépondérance masculine et un âge moyen de diagnostic de 55 à 60 ans. Elle aboutit à un handicap fonctionnel important mais l'espérance de vie des patients est similaire à la normale.
Elle est à différencier des "syndromes parkinsoniens" secondaires de symptomatologie similaire mais pour lesquels des étiologies ont été clairement identifiées et dont certains sont accessibles à une prise en charge curative ou susceptible d'enrayer l'évolution clinique.
Eléments d'anatomo-pathologie et de physiopathologie
On observe une dégénérescence des neurones monoaminergiques, principalement des neurones dopaminergiques de la substance noire.
L'effet final de la dopamine est une augmentation de la modulation de l'activité corticale, tant par la voie directe (+/-/-/+ = +) qu'indirecte (-/-/-/+/-/+ = +). Les premiers symptômes apparaissent lorsque le niveau de dopamine striatale tombe sous les 30-40% de la normale (ce qui correspond à une perte neuronale de la substance noire d'au moins 60%. Il faut généralement ~ 6 ans avant d'atteindre ce stade dans le cadre de la MPI). La maladie de Parkinson idiopathique se caractérise par la prédominance d'une dégénérescence des neurones dopaminergiques de la substance noire (aspect anormal avec des corps de Léwy) suivie par leur apoptose ("suicide" cellulaire).

L'étiologie est inconnue, supposée multifactorielle, génétique (≈ 15 % d'antécédents familiaux) et environnementale (cf rôle du MPTP dans les USA des années '70). Les facteurs de risques identifiés sont l'âge et l'histoire familiale. Le tabagisme modéré est classiquement considéré comme un facteur protecteur (douteux).
Quoi qu'il en soit, les principales hypothèses sont centrées sur une suspicion du rôle d'une augmentation de stress oxydatif (→ formation de microagrégats toxiques + dysfonction mitochondriale), hypothèse soutenue par le fait que :
- Le métabolisme dopaminergique est une source particulièrement abondante de radicaux libres → sensibilité particulière des neurones concernés
- Il existe des cas monogéniques rares (parkine, alpha-synucléine, PINK1, DJ1,…) se caractérisant par la formation de microagrégats ou de dysfonctions mitochondriales
Clinique et diagnostic
Le diagnostic de maladie de Parkinson est exclusivement clinique et d'exclusion (cf syndromes parkinsoniens). Sur base anatomo-pathologique, la justesse des diagnostics posés initialement n'est que de ≈ 75%. Elle monte cependant à 90% après plusieurs années de suivi.
La clinique est toujours asymétrique (unilatérale au début puis bilatéralisation lente avec latéralisation persistante) et la réponse à la L-dopa est de règle spectaculaire en début de traitement.
Critères diagnostiques (UKPDSBBCDC – 1992) :
Les critères suivants sont nécessaires au diagnostic initial :
- Critères d'un syndrome parkinsonien :
- Bradykinésie
- Un des signes suivants :
- Rigidité musculaire
- Tremblement de repos de 4 à 6 Hz
- Instabilité posturale (nécessité d'exclure une étiologie visuelle, vestibulaire, cérébelleuse ou proprioceptive)
- Absence de critères d'exclusion de la maladie de Parkinson idiopathique : accidents vasculaires cérébraux itératifs avec progression clinique en escalier, trauma crâniens répétés, antécédent d'encéphalite, crises oculogyres, traitement par neuroleptique au début des symptômes, plus d'un antécédent familial, rémission durable, clinique strictement unilatérale après trois ans d'évolution, parésie verticale du regard, signes cérébelleux, signes autonomiques sévères précoces, démence précoce, signe de Babinski, tumeur cérébrale ou suspicion d'hydrocéphalie à l'imagerie, absence de réponse à la L-dopa, exposition au MPTP
Trois critères parmi les suivants sont exigés pour le diagnostic définitif : début unilatéral, tremblement de repos, évolution lentement progressive, persistance d'une asymétrie aux dépend de la latéralisation initiale en cours d'évolution, excellente réponse à la L-dopa, réponse à L-dopa durant au moins cinq ans, histoire de la maladie d'au moins dix ans.
Triade caractéristique
Tremblement |
Prédominant au repos, ++ aux membres supérieurs (> membres inférieurs, lèvres, joues, langue. Très rarement cervical), ++ unilatéral avec bilatéralisation en quelques années mais restant asymétrique |
Rigidité |
+- roue dentée, ++ asymétrique |
Brady / akinésie |
Baisse des initiatives et de rapidité, début ++ unilatéral, absence de mouvements automatiques, altération des mouvements fins, face figée, micrographie, dysarthrie extrapyramidale, sialorrhée secondaire à une diminution de la fréquence des déglutitions |
Instabilité par atteinte des réflexes posturaux
Symptôme tardif, très peu dopa-sensible.
Troubles de la marche
Instabilité et chutes (survenant tardivement, contrairement au cas de la paralysie supranucléaire progressive) secondaires à l'akinésie, à l'atteinte des réflexes posturaux et à la rigidité.
- "marche à petits pas" et pieds traînant sur le sol
- tronc en flexion
- difficulté à initier la marche (accélération progressive)
- phénomènes de "freezing" = arrêt brutal d'un mouvement
Divers
Anomalies oculo-motrices, dystonies, démences (survient dans 15% des cas mais généralement tardivement. D'autres diagnostics doivent être évoqués en première intention en cas de survenue précoce), hypotension artérielle orthostatique (due à la pathologie et iatrogène), constipation, dépression, paresthésies, syndrome des jambes sans repos, troubles sphinctériens,…
Les symptômes "prémonitoires" ou "pré-moteurs"
Ils constituent les "marqueurs précliniques", de peu d'intérêt actuellement puisqu'on ne dispose toujours pas d'une neuroprotection efficace et que leur caractère aspécifique ne doit pas faire évoquer le diagnostic.
- troubles olfactifs (hyposmie) : présents dans 80 à 90% des cas
- troubles du sommeil paradoxal : perte de l'atonie musculaire du REM, activités musculaires anormales,…
La "phase débutante atypique"
La symptomatologie précoce n'est pas toujours caractérisée par les symptômes cardinaux mais parfois par :
- des douleurs ("épaule gelée",…) résistantes aux antalgiques mais cédant à la L-dopa
- des paresthésies et/ ou dysesthésies
- un syndrome des jambes sans repos (présent chez 20% des parkinsoniens)
- une pseudo-dépression (aspect évocateur de dépression en l'absence de trouble thymique : baisse des activités volontaires, amimique, lenteur,…)
- une rigidité-akinésie se traduisant par une perte du ballant d'un bras, marche à petit pas, freezing
Complications non motrices (présentées par 100% des patients dans leur évolution)
- neuropsychiatriques : anxiété, dépression, obsessions, démences, psychoses médicamenteuses, complications post-chirurgicales, addictions,…
- troubles cognitifs (40%) dont des démences de type sous-corticales (étiologies : liés à la maladie et iatrogènes [anticholinergiques])
- Dysautonomie : hypotension artérielle orthostatique, troubles sexuels, troubles digestifs, troubles sphinctériens
- Douleurs
- Troubles du sommeil : insomnies, agitation REM
- Sensoriels (visuels, auditifs)
- Fatigue, aculomotricité,…
- Hallucinations → les hallucinations augmentent la mortalite et diminuent l'autonomie de par leur caractère très anxiogène au long cours
- Dépression, dysphorie, anxiété... liées directement à la maladie (atteintes d'autres systèmes dopaminergiques, des systèmes cholinergiques et sérotoninergiques) et réactionelles au diagnostic et à la perte d'autonomie.
- Susceptiblité aux addictions.
Diagnostic différentiel et bilan complémentaire
La prescription d'examens complémentaires ne se justifie en routine que pour écarter des diagnostics différentiels. Ces derniers sont abordés dans les chapitres syndromes parkinsoniens et tremblements. Les anomalies aux examens complémentaires (IRM et PET-CT cérébraux compris) dans la maladie de Parkinson idiopathique sont en effet trop peu spécifiques et trop peu sensibles. La place du DAT-scan, toujours mal définie, est particulière.
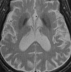
IRM cérébrale
![]() IRM cérébrale - séquence T2 - Maladie de Parkinson idiopathique - hypo-intensités de la substance noire |
L'IRM sert surtout à écarter des diagnostics différentiels potentiellement accessibles à un traitement étiologique (tumeurs, parkinsonnisme vasculaire, hydrocéphalie, calcifications des noyaux de la base et diverses anomalies métaboliques,...). Dans le cadre d'une maladie de Parkinson idiopathique ont pourra cependant rencontrer les anomalies suivantes (peu sensible, peu spécifique) :
- atrophie diffuse et élargissement ventriculaire ventriculaire
- hypo-intensités des noyaux de la base et de la substance noire en FLAIR/ T2
Le DAT-Scan
Le diagnostic de la maladie de Parkinson idiopathique repose sur la clinique et l'exclusion de diagnostics différentiels. Cependant dans certains cas, le DAT-SCAN peut présenter un intérêt, plus performant en la matière que le PET-CT. Il fournit des données fonctionnelles sur la réserve dopaminergique.
Il s'agit d'une SPECT associé à l'injection IV d'une solution d'iode 121 (Ioflupane) qui se lie spécifiquement aux structures de transport de la dopamine → une baisse de liaison de l'I 121 signe une déperdition en neurones dopaminergiques. Pour éviter que l'Ioflupane s'accumule dans la thyroïde, le patient doit ingérer 12 heures avant et 12 heures après l'examen des comprimés d'iode.
Cette technique est intéressante pour :
- distinguer la maladie de Parkinson idiopathique d'un tremblement essentiel ou iatrogène. Elle ne peut par contre différencier les différentes maladies dégénératives ou non entraînant une perte des neurones dopaminergiques
- de même, elle peut permettre de distinguer la démence à corps de Léwy diffus de la maladie d'Alzheimer (sensibilité de 80%)
Néanmoins, la seule indication remboursée par l'INAMI est le diagnostic différentiel entre la forme trémulante de la maladie de Parkinson et le tremblement essentiel.
Effets secondaires possibles de l'examen : céphalées, fourmillements, réactions d'hypersensibilité à l'I 121,…
En l'état, le DAT-scan reste fort opérateur dépendant et ne permet pas de différencier la maladie de Parkinson idiopathique d'autres pathologies caractérisées par une perte dopaminergique (paralysie supranucléaire progressive, atrophie multisystématisée, démences à corps de Lewy, dégénérescence cortico-basale,…).
Prise en charge thérapeutique - Traitements
Il n'existe pas de traitement à visée curative ou susceptible d'enrayer l'évolution de la maladie. Cependant, contrairement à la plupart des autres maladies neurodégénératives, il existe des traitements efficaces, au moins transitoirement, sur la symptomatologie.
Le schéma thérapeutique est grossièrement le suivant:
- débuter le traitement le plus précocement possible, mais de façon progressive (ex : passer de 125 mg à 4 x 125 mg, d'abord au milieu du repas (éventuellement précédé d'un anti-émétique pour éviter les troubles digestifs), puis hors des repas pour minimiser la compétition avec les aliments)
- si pris a un stade pauci-symptomatique : essayer IMAO-B
- débuter par un agoniste dopaminergique en augmentant progressivement les doses si l'âge est < 65 ans ou qu'il n'y a pas de trouble cognitif et que la clinique est typique. Un IMAOB peut également être utilisé si stade précoce ou un anticholinergique si clinique dominée par les tremblements.
- Compléter ensuite (inefficacité, ES) par la L-dopa + inhibiteur de la décarboxylase
- si > 65 ans, initier directement par la L-dopa + inhibiteur de la décarboxylase
- A discuter : < 65 ans et symptomatologie très sévère / aggravation rapide (++ bradykinésie) / troubles psychiatriques ou cognitifs → levo-dopa ?
- s'il n'y a pas de réponse initiale spectaculaire au traitement → réévaluation vers un syndrome parkinsonien
- la chirurgie reste le seul recours lorsque les possibilités du traitement médical sont épuisées
Une prise en charge para-médicale est souvent nécessaire au côté du traitement médicamenteux :
- La kinésithérapie et le maintien d'une activité physique sont très importantes (entretien et peur de chutes)
- Divers selon clinique (orthophonie,...)
- Eventuel référencement à une assistance sociale (remboursements, mise en place d'aides à domicile,...)
On peut décrire une évolution classique sous traitement:
- la "lune de miel" = +- asymptomatique sous traitrement
- le "paradis perdu" = apparition de dyskinésies iatrogènes (durant les pics d'activité de la L-dopa) et/ ou de fluctuations de l'efficacité du traitement (phénomènes "on-off") +- apparitions de signes tardifs (ex : troubles cognitifs ++).
Levo-dopa + inhibiteurs de la décarboxylase
ex : Levodopa / Benserazide 100 / 25 mg → jusqu'à maximum 2 g / 500 mg en 3 x/ jour.
Il s'agit du traitement le plus efficace sur tous les symptômes. Pas d'avantage démontré des libérations prolongées.
Mais après 3 à 5 ans d'utilisation on observe une baisse de la durée et de l'intensité de l'effet + apparition de l'effet "on-off". En outre, le principal effet secondaire à moyen terme est l'apparition d'importantes dyskinésies (50% des < 70 ans après 5 ans de traitement, les Parkinsoniens jeunes étant plus à risque).
→ essayer de débuter par un autre traitement chez les patients jeunes et maintenir les doses les plus faibles autant que possible.
Alternative: "duodopa" = administration directe dans le jéjunum par une pompe implantée → permet une administration plus régulière → meilleur contrôle des symptômes et retarderait l'apparition des dyskinésies.
Agonistes dopaminergiques
Dérivés de l'ergot : bromocriptine, pergolide → ne plus prescrire !
Nouveaux agonistes : pramipexole = mirapexin (libération prolongée, 0,26 à 3,15 mg 1x/ jour), ropinirole (10-15 mg/ jour), praniproxole (2-3 mg) (doses efficaces à atteindre progressivement)
Moins puissants et souvent mal tolérés (complications psychiatriques [comportements compulsifs, hallucinations,…], somnolence, oedèmes des membres inférieurs,…) mais retardent l'apparition des dyskinésies. Utilisés seuls ou en combinaison avec la L-dopa. Inefficaces sur les formes insensibles à la L-dopa.
Amantadine
Favorise la libération de dopamine, faible efficacité, bonne tolérance. A envisager aux stades précoces / lorsque les dyskinésies deviennent problématiques. Non dispo en Belgique.
IMAO B (inhibiteurs de la monoamine oxydase B)
Effet modéré en début de maladie, retarde un peu la L-dopa. Ex: rasagiline, sélégiline. CI relative : hypertension artérielle, coronopathies, psychoses.
Entecapone
A associer éventuellement à la L-dopa (inhibe une enzyme la transformant) pour allonger les périodes "on". 200 mg à chaque prise de L-dopa avec un max de 2g/j.
Les anti-cholinergiques (akineton, artane, kemadrin,…)
Agissent surtout sur les tremblements. CI = glaucome, RGO, colite ulcéreuse, myasthénie et adénome prostatique ! ES : risque de dégradation cognitive, peuvent provoquer / aggraver des dyskinésies tardives, tachy-arythmies. A réserver aux jeunes dont la clinique est dominée par le tremblement.
La chirurgie
En cas d'échec médical. Agit surtout sur les tremblements (+ efficacité sur les dyskinésies iatrogènes).
Par destruction à l'aide d'électrodes du globus pallidus interne ou stimulations inhibitrices via des électrodes implantées dans les noyaux sous-thalamiques → libération de l'activité thalamique modulatrice.
Ces traitements sont indiqués pour des sujets jeunes dont la maladie n'est plus contrôlable par la L-dopa après 15 ans d'évolution de la maladie et sont contre-indiqués chez les patients déments ou fortement déprimés.
Les greffes neuronales restent limitées au cadre d'études